Periodontal Treatment -
The Importance of Saving Teeth

Why You Should Care About Periodontal Treatment
Periodontitis is the sixth-most prevalent condition in the world.1,2 with a prevalence of 45–50%, making it the most common chronic inflammatory non-communicable human disease.2,3
According to the Global Burden of Disease 2021 study, the prevalence of severe periodontitis was estimated at 12.5%.4 In addition, more than two-thirds of the population worldwide are reportedly affected by gingival recessions, which translates to a global prevalence of 78%.5
Helping patients affected by gingival recessions, gingivitis, and/or periodontitis to create and maintain good oral health, function, and esthetics is the goal of every dentist and dental hygienist. To accomplish this, various therapeutic approaches have been developed based on the grades of severity of periodontitis.
References
- Kassebaum NJ, et al. J Dent Res 2014; 93(11): 1045–53.
- Muhammad AN. Int J Health Sci (Qassim) 2017 Apr-Jun; 11(2): 72-80.
- Sanz M, et al. J Clin Periodontol 2020; 47 Suppl 22(Suppl 22): 4–60.
- Nascimento GG, et al. J Periodontal Res 2024; 59(5): 823–67.
- Yadav VS, et al. Oral Dis. 2023 Nov;29(8):2993-3002.
- Research, Science and Therapy Committee of the American Academy of Periodontology. J Periodontol. 2001 Dec;72(12):1790-800.
- Martínez-García M, Hernández-Lemus E. Front Physiol. 2021 Oct 27;12:709438.
- Matos, G.R.M., de Godoy, M.F. J. Maxillofac. Oral Surg. (2024).
- Mainas G, et al. Medicina (Kaunas). 2022 May; 58(5): 621.
- Cortellini P, et al. J Clin Periodontol. 2020;47:768–776.
- Data on file. Geistlich Fibro-Gide®. Geistlich Pharma AG, Wolhusen, Switzerland.
- Sanz M, et al. J Clin Periodontol 2020; 47: 4-60.
- Millennium Research Group, Dental Biomaterials North America, 2018 (Market research).
- Millennium Research Group, Dental Biomaterials Europe, 2018 (Market research).
- Maiorana C, et al. Int J Periodontics Restorative Dent. 2005 Feb;25(1):19–25.
- Traini T, et al. J Periodontol. 2007 May; 78(5):955–61.
- Mordenfeld A, et al. Clin. Oral Implant Res. 2010, Sep;21(9):961–70.
- Galindo-Moreno P, et al. Clin Implant Dent Relat Res. 2013 Dec;15(6):858-66.
- Sculean A, et al.: J Clin Periodontol 2007; 34(1): 72-77.
- Ghezzi C, et al.: Int J Periodontics Restorative Dent 2012; 32(4): 433-39.
- Data on File. Geistlich Bio-Gide® Perio. Geistlich Pharma AG, Wolhusen, Switzerland.
- Instructions for Use. REGENFAST®. Mastelli.
- Vermeulen, V: Material Transfer Agreement Report REGENFAST 2023, Data on file, Geistlich Pharma AG.
- Beretta M, et al.: Int J Periodontics Restorative Dent 2024; 0(0): 1–23.
- Mathes SH. Et al. Biotechnol Bioeng. 2010 Dec 15;107(6):1029-39.
- Thoma DS, et al. Clin Oral Implants Res. 2012 Dec; 23(12): 1333–9.
- Thoma DS, et al. J Clin Periodontol. 2016 Oct; 43(10): 874–85.
- Thoma DS, et al. Clin Oral Implants Res. 2009 Sep; 20 Suppl 4: 146–65.
- Thoma DS, et al. J Clin Periodontol. 2014 Apr; 41 Suppl 15: S77–91.
- Instructions for Use. Geistlich Fibro-Gide®. Geistlich Pharma AG, Wolhusen, Switzerland.
- Biocompatibility according to ISO 10993-1. Geistlich Mucograft®. Data on file, Geistlich Pharma AG, Wolhusen, Switzerland.
- Sanz M, et al.: J Clin Periodontol 2009; 36(10): 868-76.
- Konter U, et al.: Deutsche Zahnärztliche Zeitschrift 2010; 65: 723-30.
- Lorenzo R, et al.: Clin Oral Impl Res 2012; 23(3): 316-24.
- McGuire MK & Scheyer ET: J Periodontol 2010; 81(8): 1108-17.
- Cardaropoli D, et al.: J Periodontol 2012; 83(3): 321-28.
- Instructions for Use. Geistlich Mucograft®. Geistlich Pharma AG, Wolhusen, Switzerland.
- Information for User. Pocket-X® Gel. (Product Leaflet)
- Hirsch A, et al. Clin Oral Investig 2022; 26(4): 3721–33.


Periodontitis is Associated with Systemic Diseases
Oral health is a functional, structural, esthetic, physiological, and psychological state of wellbeing and is essential to everyone’s general health and quality of life.7–9 In recent years, several studies have reported associations between periodontitis and a number of systemic diseases, and vice versa.7–9
References
- Kassebaum NJ, et al. J Dent Res 2014; 93(11): 1045–53.
- Muhammad AN. Int J Health Sci (Qassim) 2017 Apr-Jun; 11(2): 72-80.
- Sanz M, et al. J Clin Periodontol 2020; 47 Suppl 22(Suppl 22): 4–60.
- Nascimento GG, et al. J Periodontal Res 2024; 59(5): 823–67.
- Yadav VS, et al. Oral Dis. 2023 Nov;29(8):2993-3002.
- Research, Science and Therapy Committee of the American Academy of Periodontology. J Periodontol. 2001 Dec;72(12):1790-800.
- Martínez-García M, Hernández-Lemus E. Front Physiol. 2021 Oct 27;12:709438.
- Matos, G.R.M., de Godoy, M.F. J. Maxillofac. Oral Surg. (2024).
- Mainas G, et al. Medicina (Kaunas). 2022 May; 58(5): 621.
- Cortellini P, et al. J Clin Periodontol. 2020;47:768–776.
- Data on file. Geistlich Fibro-Gide®. Geistlich Pharma AG, Wolhusen, Switzerland.
- Sanz M, et al. J Clin Periodontol 2020; 47: 4-60.
- Millennium Research Group, Dental Biomaterials North America, 2018 (Market research).
- Millennium Research Group, Dental Biomaterials Europe, 2018 (Market research).
- Maiorana C, et al. Int J Periodontics Restorative Dent. 2005 Feb;25(1):19–25.
- Traini T, et al. J Periodontol. 2007 May; 78(5):955–61.
- Mordenfeld A, et al. Clin. Oral Implant Res. 2010, Sep;21(9):961–70.
- Galindo-Moreno P, et al. Clin Implant Dent Relat Res. 2013 Dec;15(6):858-66.
- Sculean A, et al.: J Clin Periodontol 2007; 34(1): 72-77.
- Ghezzi C, et al.: Int J Periodontics Restorative Dent 2012; 32(4): 433-39.
- Data on File. Geistlich Bio-Gide® Perio. Geistlich Pharma AG, Wolhusen, Switzerland.
- Instructions for Use. REGENFAST®. Mastelli.
- Vermeulen, V: Material Transfer Agreement Report REGENFAST 2023, Data on file, Geistlich Pharma AG.
- Beretta M, et al.: Int J Periodontics Restorative Dent 2024; 0(0): 1–23.
- Mathes SH. Et al. Biotechnol Bioeng. 2010 Dec 15;107(6):1029-39.
- Thoma DS, et al. Clin Oral Implants Res. 2012 Dec; 23(12): 1333–9.
- Thoma DS, et al. J Clin Periodontol. 2016 Oct; 43(10): 874–85.
- Thoma DS, et al. Clin Oral Implants Res. 2009 Sep; 20 Suppl 4: 146–65.
- Thoma DS, et al. J Clin Periodontol. 2014 Apr; 41 Suppl 15: S77–91.
- Instructions for Use. Geistlich Fibro-Gide®. Geistlich Pharma AG, Wolhusen, Switzerland.
- Biocompatibility according to ISO 10993-1. Geistlich Mucograft®. Data on file, Geistlich Pharma AG, Wolhusen, Switzerland.
- Sanz M, et al.: J Clin Periodontol 2009; 36(10): 868-76.
- Konter U, et al.: Deutsche Zahnärztliche Zeitschrift 2010; 65: 723-30.
- Lorenzo R, et al.: Clin Oral Impl Res 2012; 23(3): 316-24.
- McGuire MK & Scheyer ET: J Periodontol 2010; 81(8): 1108-17.
- Cardaropoli D, et al.: J Periodontol 2012; 83(3): 321-28.
- Instructions for Use. Geistlich Mucograft®. Geistlich Pharma AG, Wolhusen, Switzerland.
- Information for User. Pocket-X® Gel. (Product Leaflet)
- Hirsch A, et al. Clin Oral Investig 2022; 26(4): 3721–33.
1 Neurological diseases e.g. Alzheimer’s disease
2 Chronic respiratory diseases e.g. aspiration pneumonia
3 Cardiovascular diseases
4 Cancer e.g. colorectal cancer
5 Gastrointestinal diseases, diabetes & insulin resistance
6 Pregnancy complications
7 Rheumatoid arthritis

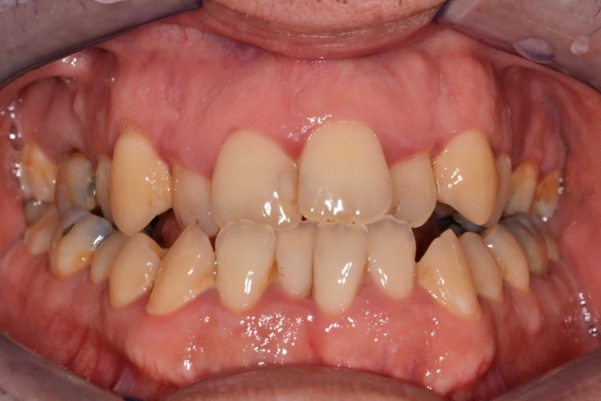
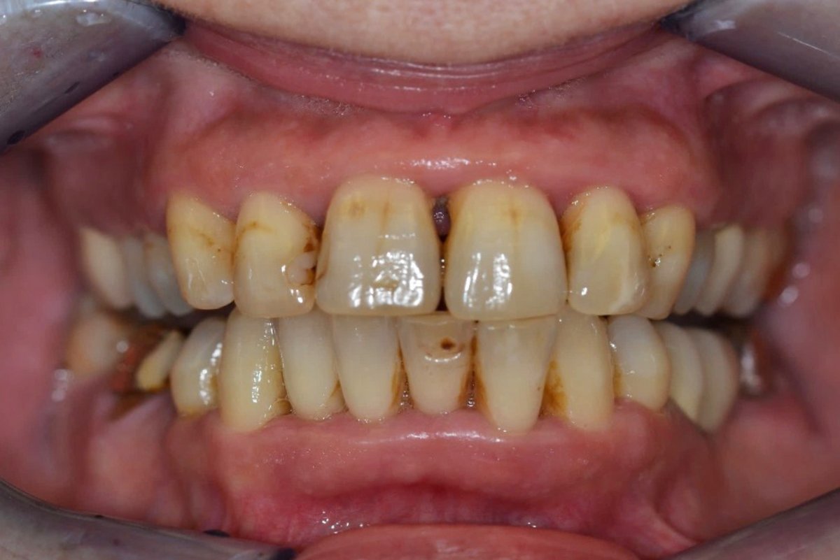
The Importance of Saving Teeth
1. Reduction of systemic inflammation
Saving teeth by means of periodontal therapy lowers the risk of systemic inflammation, which can affect your patients’ overall health.7–9
2. Better quality of life
Patients reported a better quality of life for up to 10 years after periodontal treatment compared to those who received implants and/or bridge restorations.10
3. Long-term tooth retention
Saving teeth for as long as possible – especially in younger patients – is one of the main goals of periodontal treatment.
4. Saves money
Periodontal therapy was shown to be a less costly alternative to tooth extraction and replacement over a period of 10 years.10
Periodontal Treatment with Geistlich Bio-Oss® Collagen and Geistlich Bio-Gide® Perio achieves an overall tooth survival rate of 97% after 5–10 years*.11
*Cohort study: 1008 intrabony defects (176 patients) treated with Geistlich Bio-Oss® Collagen, with Geistlich Bio-Gide® Perio (in 50% of the cases), plus enamel matrix derivative in <10% of the cases.
References
- Kassebaum NJ, et al.: J Dent Res 2014;93(11): 1045–53.
- Muhammad AN: Int J Health Sci (Qassim) 2017 Apr-Jun; 11(2): 72-80.
- Sanz M, et al.: J Clin Periodontol 2020; 47 Suppl 22(Suppl 22): 4–60.
- Nascimento GG, et al.: J Periodontal Res 2024;59(5): 823–67.
- Yadav VS, et al.: Oral Dis. 2023 Nov;29(8): 2993-3002.
- Research, Science and Therapy Committee of the American Academy of Periodontology.: J Periodontol. 2001;72(12): 1790–800.
- Martínez-García M, Hernández-Lemus: E. Front Physiol. 2021 Oct 27;12: 709438.
- Matos GRM, de Godoy MFJ: Maxillofac. Oral Surg. (2024).
- Mainas G, et al.: Medicina (Kaunas). 2022 May;58(5): 621.
- Cortellini P, et al.: J Clin Periodontol. 2020;47: 768–76.
- Data on file. Geistlich Fibro-Gide®. Geistlich Pharma AG, Wolhusen, Switzerland.
- Sanz M, et al.: J Clin Periodontol 2020;47: 4–60.
- Millennium Research Group, Dental Biomaterials North America, 2018 (Market research).
- Millennium Research Group, Dental Biomaterials Europe, 2018 (Market research).
- Maiorana C, et al.: Int J Periodontics Restorative Dent. 2005;25(1): 19–25.
- Traini T, et al.: J Periodontol. 2007;78(5): 955–61.
- Mordenfeld A, et al.: Clin. Oral Implant Res. 2010;21(9): 961–70.
- Galindo-Moreno P, et al.: Clin Implant Dent Relat Res. 2013;15(6): 858–66.
- Sculean A, et al.: J Clin Periodontol 2007;34(1): 72–77.
- Ghezzi C, et al.: Int J Periodontics Restorative Dent 2012;32(4): 433–39.
- Data on File. Geistlich Bio-Gide® Perio. Geistlich Pharma AG, Wolhusen, Switzerland.
- Instructions for Use. REGENFAST®. Mastelli.
- Vermeulen, V: Material Transfer Agreement Report REGENFAST 2023, Data on file, Geistlich Pharma AG.
- Beretta M, et al.: Int J Periodontics Restorative Dent 2025;45(2): 209–19.
- Mathes SH. et al.: Biotechnol Bioeng. 2010;107(6): 1029–39.
- Thoma DS, et al.: Clin Oral Implants Res. 2012;23(12): 1333–39.
- Thoma DS, et al.: J Clin Periodontol. 2016;43(10): 874–85.
- Thoma DS, et al.: Clin Oral Implants Res. 2009;20 Suppl 4: 146–65.
- Thoma DS, et al.: J Clin Periodontol. 2014;41 Suppl 15: 77–91.
- Instructions for Use. Geistlich Fibro-Gide®. Geistlich Pharma AG, Wolhusen, Switzerland.
- Biocompatibility according to ISO 10993-1. Geistlich Mucograft®. Data on file, Geistlich Pharma AG, Wolhusen, Switzerland.
- Sanz M, et al.: J Clin Periodontol 2009;36(10): 868–76.
- Konter U, et al.: Deutsche Zahnärztliche Zeitschrift 2010;65: 723–30.
- Lorenzo R, et al.: Clin Oral Impl Res 2012;23(3): 316–24.
- McGuire MK, Scheyer ET: J Periodontol 2010;81(8): 1108–17.
- Cardaropoli D, et al.: J Periodontol 2012;83(3): 321–28.
- Instructions for Use. Geistlich Mucograft®. Geistlich Pharma AG, Wolhusen, Switzerland.
- Information for User (Product Leaflet). Pocket-X® Gel. Prudentix.
- Hirsch A, et al.: Clin Oral Investig 2022;26(4): 3721–33.
Your Solutions for Every Stage of Your Treatment

Your Geistlich Biomaterials for Periodontal Treatment
Geistlich Bio-Oss®
Geistlich Bio-Oss® is the leading natural bone substitute in regenerative dentistry worldwide.13,14 With its osteo-conductive properties, Geistlich Bio-Oss® particles become an integral part of the newly formed bone and preserve volume over the long term.15–18

Geistlich Bio-Gide® Perio
Geistlich Bio-Gide® Perio is a collagen membrane possessing the same biological properties as Geistlich Bio-Gide® with two modified attributes: a firmer upper surface that facilitates cutting when dry, eases application in guided tissue regeneration during surgery, and retains its structural integrity even when wet.19–21

Geistlich Perio-System Combi-Pack
Perio-System Combi-Pack combines the improved handling attributes of Geistlich Bio-Oss® Collagen and Geistlich Bio-Gide® Perio. Used together, they offer optimal properties for regenerative periodontal procedures: Geistlich Bio-Oss® Collagen is easy to form and handle due to 10% of porcine collagen, and Geistlich Bio-Gide® Perio offers easy handling due to its firmer upper surface that eases cutting when dry, and eases application during surgery.19–21

REGENFAST®
REGENFAST® is the first viscoelastic gel in dentistry to harness the power of polynucleotides and hyaluronic acid, stimulating tissue repair22 and promoting faster bone formation.23,24 REGENFAST® can be used in combination with autologous bone, bone substitutes22, membranes, and matrices.23

Geistlich Fibro-Gide®
Geistlich Fibro-Gide® is a porcine, porous, resorbable and volume-stable collagen matrix, specifically designed for soft-tissue regeneration.11,25,26
Geistlich Fibro-Gide® is the alternative to autogenous connective tissue grafts (CTG), which are considered the gold standard in regenerative soft-tissue procedures.27–30

Geistlich Mucograft®
Geistlich Mucograft® is a collagen matrix designed specifically for soft-tissue regeneration in the oral cavity.31 It is indicated for gaining keratinized tissue32–34 and for recession coverage.35,36 Geistlich Mucograft® provides an alternative to autologous soft-tissue grafts.32–36 Painful harvesting of tissue is avoided, benefiting patients and clinicians alike.37

Pocket-X® Gel
Pocket-X® Gel is an adjunctive subgingival treatment to improve the healing of the gingiva and to inhibit bacterial recolonization in the periodontal pocket. Pocket-X® Gel is applied to the periodontal pocket after debridement / scaling and root planing. It can be part of a routine periodontal treatment program in cause-related therapy and supportive periodontal care (steps 2 and 4).38,39

References
- Kassebaum NJ, et al.: J Dent Res 2014;93(11): 1045–53.
- Muhammad AN: Int J Health Sci (Qassim) 2017 Apr-Jun; 11(2): 72-80.
- Sanz M, et al.: J Clin Periodontol 2020; 47 Suppl 22(Suppl 22): 4–60.
- Nascimento GG, et al.: J Periodontal Res 2024;59(5): 823–67.
- Yadav VS, et al.: Oral Dis. 2023 Nov;29(8): 2993-3002.
- Research, Science and Therapy Committee of the American Academy of Periodontology.: J Periodontol. 2001;72(12): 1790–800.
- Martínez-García M, Hernández-Lemus: E. Front Physiol. 2021 Oct 27;12: 709438.
- Matos GRM, de Godoy MFJ: Maxillofac. Oral Surg. (2024).
- Mainas G, et al.: Medicina (Kaunas). 2022 May;58(5): 621.
- Cortellini P, et al.: J Clin Periodontol. 2020;47: 768–76.
- Data on file. Geistlich Fibro-Gide®. Geistlich Pharma AG, Wolhusen, Switzerland.
- Sanz M, et al.: J Clin Periodontol 2020;47: 4–60.
- Millennium Research Group, Dental Biomaterials North America, 2018 (Market research).
- Millennium Research Group, Dental Biomaterials Europe, 2018 (Market research).
- Maiorana C, et al.: Int J Periodontics Restorative Dent. 2005;25(1): 19–25.
- Traini T, et al.: J Periodontol. 2007;78(5): 955–61.
- Mordenfeld A, et al.: Clin. Oral Implant Res. 2010;21(9): 961–70.
- Galindo-Moreno P, et al.: Clin Implant Dent Relat Res. 2013;15(6): 858–66.
- Sculean A, et al.: J Clin Periodontol 2007;34(1): 72–77.
- Ghezzi C, et al.: Int J Periodontics Restorative Dent 2012;32(4): 433–39.
- Data on File. Geistlich Bio-Gide® Perio. Geistlich Pharma AG, Wolhusen, Switzerland.
- Instructions for Use. REGENFAST®. Mastelli.
- Vermeulen, V: Material Transfer Agreement Report REGENFAST 2023, Data on file, Geistlich Pharma AG.
- Beretta M, et al.: Int J Periodontics Restorative Dent 2025;45(2): 209–19.
- Mathes SH. et al.: Biotechnol Bioeng. 2010;107(6): 1029–39.
- Thoma DS, et al.: Clin Oral Implants Res. 2012;23(12): 1333–39.
- Thoma DS, et al.: J Clin Periodontol. 2016;43(10): 874–85.
- Thoma DS, et al.: Clin Oral Implants Res. 2009;20 Suppl 4: 146–65.
- Thoma DS, et al.: J Clin Periodontol. 2014;41 Suppl 15: 77–91.
- Instructions for Use. Geistlich Fibro-Gide®. Geistlich Pharma AG, Wolhusen, Switzerland.
- Biocompatibility according to ISO 10993-1. Geistlich Mucograft®. Data on file, Geistlich Pharma AG, Wolhusen, Switzerland.
- Sanz M, et al.: J Clin Periodontol 2009;36(10): 868–76.
- Konter U, et al.: Deutsche Zahnärztliche Zeitschrift 2010;65: 723–30.
- Lorenzo R, et al.: Clin Oral Impl Res 2012;23(3): 316–24.
- McGuire MK, Scheyer ET: J Periodontol 2010;81(8): 1108–17.
- Cardaropoli D, et al.: J Periodontol 2012;83(3): 321–28.
- Instructions for Use. Geistlich Mucograft®. Geistlich Pharma AG, Wolhusen, Switzerland.
- Information for User (Product Leaflet). Pocket-X® Gel. Prudentix.
- Hirsch A, et al.: Clin Oral Investig 2022;26(4): 3721–33.